Quality Dental Care of Lakeland
A Great Dentist
We have Saturday appointments! Please call our office if you'd like to schedule your next appointment on a Saturday. 

Smile Gallery

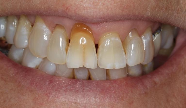
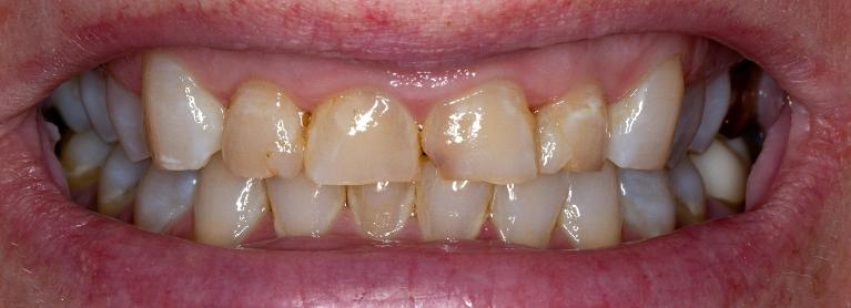
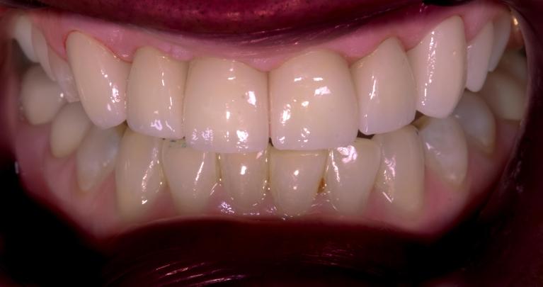
Are you unhappy with the look of your smile in Lakeland, FL? Do you need dental work but aren't sure how it will affect your appearance? 

It can be hard to envision how a particular treatment will impact your smile, so we have shared some before and after photos of actual patients who have had their smiles transformed by our experienced dental team in Lakeland, FL. Please take a moment to browse through the images, get inspired, and call Quality Dental Care of Lakeland to arrange an appointment so we can get you on your way to a healthy smile you're proud to show off!

Still need an appointment?
Removing 9 top teeth and placing implants in the same day
If you have difficulty using our website, please email us or call us at (863) 858-3891
View the ADA Accessibility Statement